عبدالرضا معادی مدیر عامل موسسه اطلاع رسانی دندانپزشکی ایران اعلام داشت که ترک های دندانی می تواند منجر به شکستگی و از دست رفتن دندانها شود او اعلام داشت که ترک های دندانی می توانند به شکل های ذیل دیده شوند :
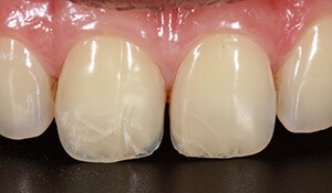
خطوطی از شکستگی برروی سطح جونده و یا دیواره دندان که می تواند تا ناحیه لثه ای ادامه یابد و گاهی هم به ریشه دندان برسد.خطوط بسیار نازک که فقط در روی مینا قرار دارند معمولاً بر روی دندان افراد بزرگسال دیده می شوند و این خطوط بدون درد هستند و لذا به هیچ درمانی نیاز ندارند و بیشتر بر روی سطح دندانهای پیش فک بالا می توان آنها را مشاهده کرد . ترک های روی کاسپ ها یا برآمدگی های دندانهای انتهایی که بر روی سطح جونده آنها دیده می شود این ترک ها می توانند منجر به شکستگی کاسپ ها و یا دندان می شود در این موارد به هنگام جویدن درد تیزی در دندان احساس می شود .
این ترک ها اگر درمان نشوند می تواند منجر به جدا شدن دندان از هم و شکستگی کامل گردند که گاهی اوقات این شکستگی تا ریشه دندان نیز ادامه می یابد .
دکتر معادی گفت : شکستگی ها و ترک های دندانی علل مختلف دارند که بعضی از آنها شامل فشار زیاد به دندان در حین گاز زدن و یا جویدن ، پر کردگی های بزرگ روی سطوح دندانی ، جویدن غذاهای سفت و سخت نظیر یخ ، آجیل ، دانه میوه ها و یا تکه های استخوان ، تغییرات حرارتی داخل محیط دهان ، بیماریهای لثه و فشار ناگهانی فک پایین به دندانهای فک بالا در اثر استرس و یا ضربه می باشد علائم این شکستگی ها و ترک ها در دندانهای مختلف و افراد متفاوت متغییر است و لذا علامت مشخصی ندارد بروز درد در محیط دهان مخصوصاً هنگام جویدن و یا گاز گرفتن ، احساس درد در حین استفاده از غذاهای سرد حساسیت به مواد شیرین در بعضی مواقع تورم و التهاب لثه ای در ناحیه دندان ترک خورده به همین منظور ویزیت های دوره ای توسط دندانپزشک توصیه می گردد تا تشخیص و درمان زودتر انجام پذیرد . از سوی دیگر ترک های دندانی در رادیو گرافی های محیط دهان و دندان دیده نمی شود بعلت دو بعدی بودن عکس های رادیو گرافی و موازی بودن این ترک ها با نمای دندان ترک های ساده مشاهده نمی گردد اگر چه بعضی از شکستگی های ریشه براحتی قابل رویت است . استفاده از نور ماوراء بنفش در حین معاینه دندانپزشک به مشاهده ترک دندانی کمک می نماید .
توجه به درمان ترک های دندانی بسیار با اهمیت است زیرا بعلت تغییرات ایجاد شده می تواند منجر به صدمه به عصب دندان و در نهایت ریشه و یا استخوان گردد . دیده شده است که گاهی این ترک ها منجر به کشیده شدن دندان نیز گردیده است دندانهایی که دچار ترک پا شکستگی می شوند می تواند به شکل های مختلف درمان شوند برای ترک های ساده می توان از رزین های مخصوص برای پر کردن آن و ایجاد یکپارچگی استفاده کرد در بعضی مواقع می توان ترک را بوسیله پر کردگی همرنگ ترمیم نمود. استفاده از ونیز لامینت و روکش های چینی روش های دیگر برطرف کردن ترک ها و شکستگی های دندانی است .
این را بدانید دندانهایی که دچار ترک شده و درمان شده اند می توان برای سالهای طولانی مورد استفاده قرار گیرند .
با استفاده از کارد دهانی در صورتی که دندان قروچه دارید و یا ورزش های سنگین می کنید ، رعایت استفاده از مواد غذایی سفت و یا جلوگیری از تغییرات حرارتی محیط دهان و معاینات دوره ای دندانپزشک می توانند از بروز ترک دندانی جلوگیری کنید .

